Шакурова Айгуль Вагизовна
Стоматолог-пародонтолог
- НаправленияГигиена и профилактика заболевания десен, Лечение слизистой оболочки рта, Заболевания слизистой оболочки полости рта, Гигиена и профилактика
- Опыт работы доктора5 лет
- ФилиалСтоматология ул. Юлиуса Фучика, 131а, Стоматология ул. М. Салимжанова 15/8в
- НаправленияГигиена и профилактика заболевания десен, Лечение слизистой оболочки рта, Заболевания слизистой оболочки полости рта, Гигиена и профилактика
- Опыт работы доктора5 лет
- ФилиалСтоматология ул. Юлиуса Фучика, 131а, Стоматология ул. М. Салимжанова 15/8в
Стоматолог-пародонтолог
Шакурова Айгуль Вагизовна
Консультация c врачом
от 1000 ₽
О враче
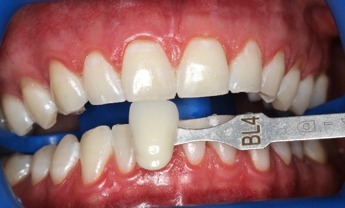
Айгуль Вагизовна специализируется на лечении и профилактики заболеваний пародонта, а также отбеливании зубов. 5 лет успешной практики в пародонтологии. Более 1000 довольных пациентов с заболеванием пародонта находятся в состоянии ремиссии после лечения. Более 300 счастливых пациентов наслаждаются каждый день белоснежной улыбкой, полученной в результате отбеливания зубов.
Компетенции
01
Комплексная профессиональная и пародонтологическая гигиена полости рта
02
Профилактика и лечение заболеваний пародонта (консервативное и хирургическое)
03
Кюретаж пародонтологических карманов ручной (кюретой) и механический (на аппарате vector paro)
04
Фотодинамическая терапия
05
Шинирования зубов
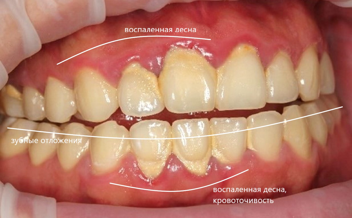
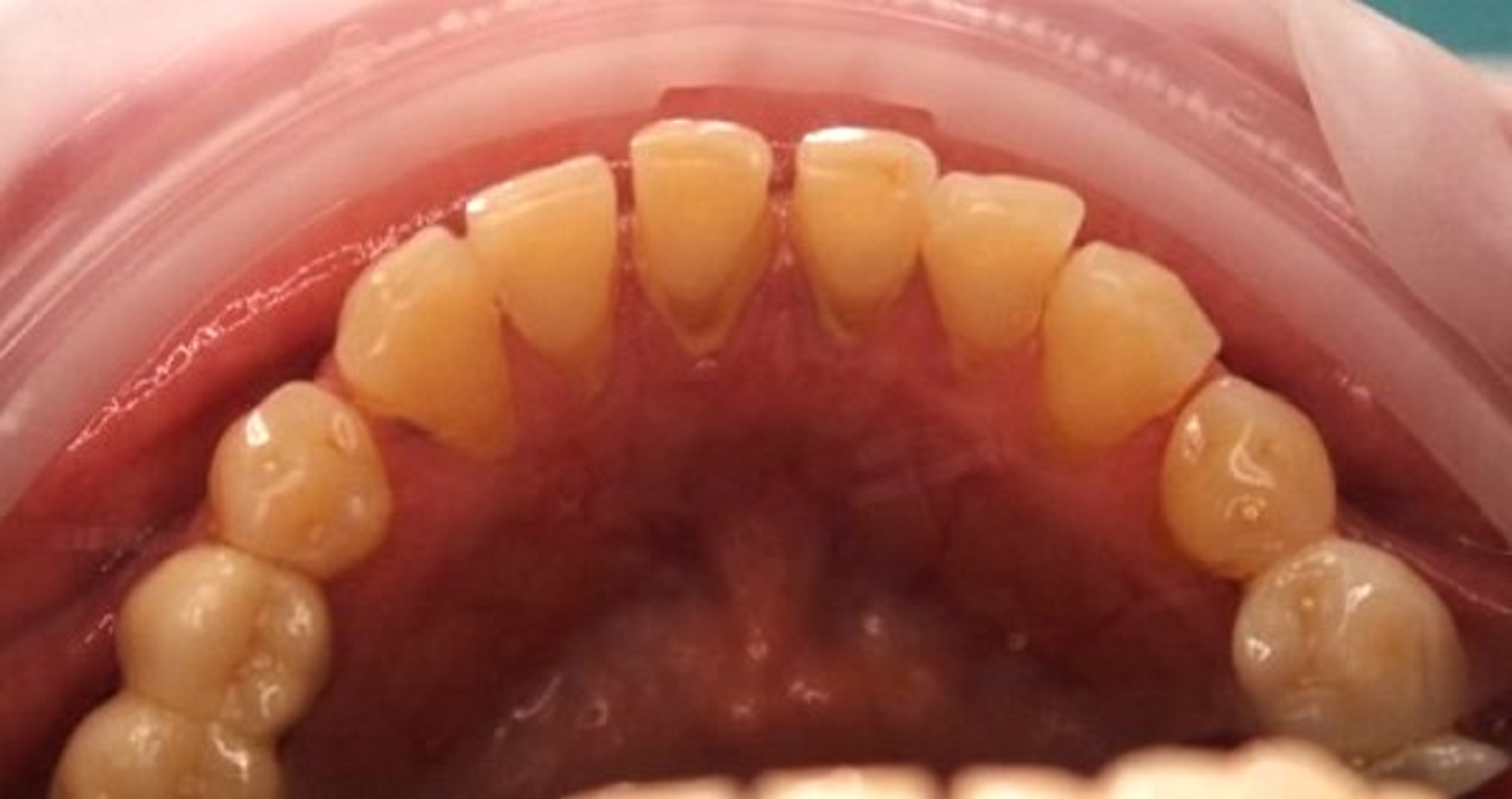
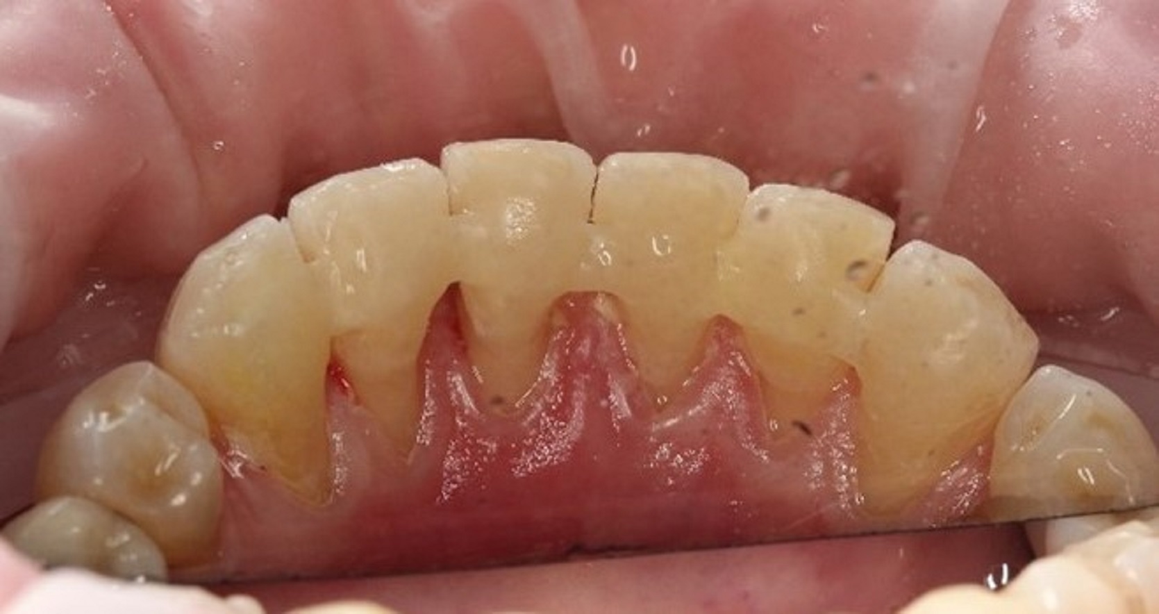
До и после
До
После

Отзывы о враче — 5.0
Продокторов Пациент +7 951 89XXXXX
14 февраля, 2024
История пациента
Другие специалисты
Фазылова Юлия Вильдановна
Стоматолог-пародонтолог
Мингалиева Гелия Фидаиловна
Стоматолог-пародонтолог
Егорова Дина Геннадьевна
Стоматолог-пародонтолог
Загрутдинова Рената Минделевна
Консультация
Хотите сияющую улыбку? Оставьте заявку и начните улыбаться чаще!

