Срок лечения
Кутдусов Рушан Раухатович
Стоматолог-хирург
- НаправленияИмплантация, Хирургия
- Опыт работы доктора8 лет
- ФилиалСтоматология ул. Юлиуса Фучика, 131а
- НаправленияИмплантация, Хирургия
- Опыт работы доктора8 лет
- ФилиалСтоматология ул. Юлиуса Фучика, 131а
Стоматолог-хирург
Кутдусов Рушан Раухатович
Консультация c врачом
Бесплатно
О враче
Рушан Раухатович владеет современными методиками по имплантации зубов: классическая имплантация, одномоментная имплантация, точная имплантация по хирургическим шаблонам, имплантация при полном отсутствии зубов. Постоянно совершенствует свои знания на курсах, семинарах и вебинарах.
Компетенции
01
Имплантация зубов (хирургическая часть)
02
Лоскутная операция в полости рта при пластике рецесси
03
Тотальная реабилитация зубов по протоколам «Все на 4», «Все на 6»
04
Удаление зубов
Образование
- 2017Окончил Казанский государственный медицинский университет, стоматологический факультет;
- 2017-2019Ординатура по специальности хирургическая стоматология
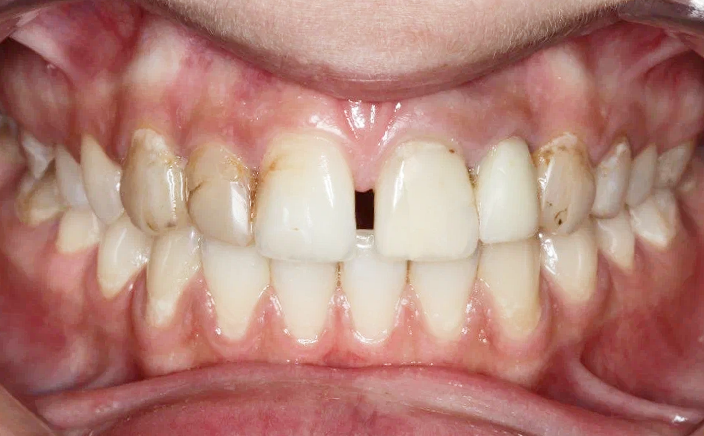
До и после
До
После

Отзывы о враче — 5.0
Продокторов Пациент +7 904 66XXXXX
17 сентября, 2025
История пациента
Понравилось
Другие специалисты
Громова Ольга Сергеевна
Стоматолог-хирург
Хамидуллин Альберт Фанизович
Стоматолог-хирург
Ильин Павел Андреевич
Стоматолог-хирург
Ящук Никита Олегович
Стоматолог-хирург
Бурмистров Константин Андреевич
Стоматолог-хирург
Бикалов Анвар Абдурасулович
Стоматолог-хирург
Асанов Тимур Маратович
Стоматолог-хирург
Сафин Искандер Рустэмович
Консультация
Хотите сияющую улыбку? Оставьте заявку и начните улыбаться чаще!