Громова Екатерина Сергеевна
Стоматолог-ортопед
Гнатолог
- НаправленияГнатология, Протезирование, Протезирование на имплантах
- Опыт работы доктора6 лет
- ФилиалСтоматология ул. Фатыха Амирхана, 14а
- НаправленияГнатология, Протезирование, Протезирование на имплантах
- Опыт работы доктора6 лет
- ФилиалСтоматология ул. Фатыха Амирхана, 14а
Стоматолог-ортопед
Гнатолог
Громова Екатерина Сергеевна
Консультация c врачом
Бесплатно
О враче
Екатерина Сергеевна работает в цифровом протоколе и в комплексном коммуникационном сотрудничестве с другими специалистами: хирургами, ортодонтами, терапевтами. Осуществляет ортопедическую подготовку пациентов к ортодонтическому лечению брекет-системой и элайнерами.
Доктор обладает обширными профессиональными знаниями, непрерывно осваивает новые методы и технологии работы и активно внедряет их в свою клиническую практику. Пользуется уважением у коллег и пациентов, так как очень тактична, внимательна и доброжелательна.
«Я убеждена, что человек может быть по-настоящему счастлив только тогда, когда любит свою специальность, увлечен работой и всей душой предан ей, когда чувствует, что он необходим обществу и его труд приносит пользу людям»
Громова Екатерина Сергеевна
Стоматолог-ортопед
Компетенции
01
Восстановление эстетики и жевательной функции зубов с помощью несъемных и съемных ортопедических конструкций
02
Протезирование на установленные системы имплантатов
03
Протезирование по протоколам «Все на 4», «Все на 6»
Образование
- 2019Самарский Государственный Медицинский университет по специальности «Стоматология»
- 2021Ординатура по специальности «Стоматология ортопедическая» на базе Самарского Государственного Медицинского университета
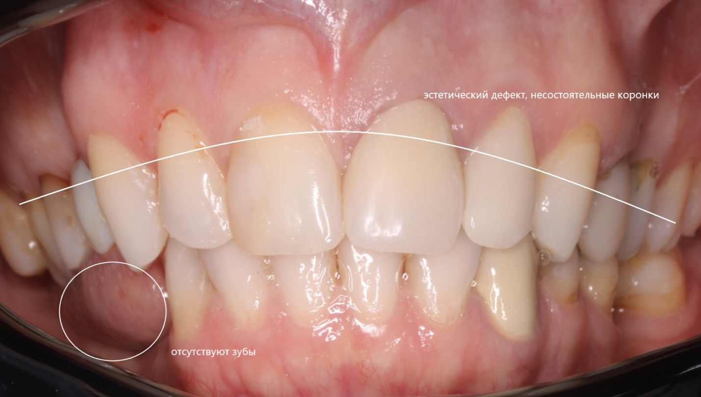
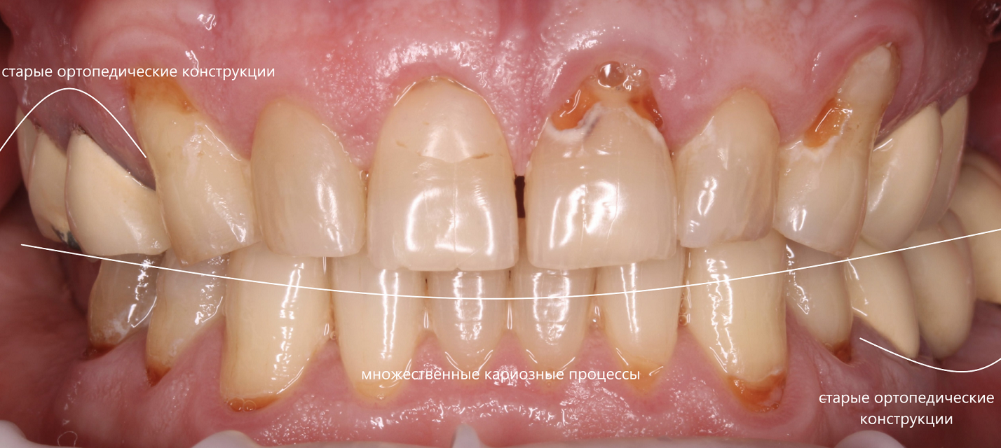
До и после
До
После

Сертификаты
Сертификат обученияя
Практический курс по программе Ivoclar Vivadent (International Center for Dental Education)
Сертификат обучения
Подготовительный семинар по программе iTop
Сертификат обучения
Сертификат обучения
Сертификат обучения
Сертификат обучения
Сертификат обучения
Сертификат обучения
Отзывы о враче — 4.4
Пациент +7 927 20XXXXX
1 февраля, 2026
История пациента
Понравилось
Пациент +7 986 92XXXXX
23 января, 2026
История пациента
Понравилось
Другие специалисты
Кустов Олег Игоревич
Стоматолог-ортопед
Комилов Хусрав Мухаммадович
Стоматолог-ортопед, Гнатолог
Резяпов Марат Минтагирович
Стоматолог-ортопед
Ермолаева Ксения Анатольевна
Стоматолог-ортопед
Гилязиев Анвар Марселевич
Стоматолог-ортопед
Салаватуллин Руслан Джалилевич
Стоматолог-ортопед
Галиев Айнур Фаязович
Стоматолог-ортопед
Сагдиев Марсель Ильгизович
Консультация
Хотите сияющую улыбку? Оставьте заявку и начните улыбаться чаще!

