Галиев Айнур Фаязович
Стоматолог-ортопед
- НаправленияПротезирование с опорой на имплантах, Коронки, Виниры
- Опыт работы доктора13 лет
- ФилиалСтоматология ул. Абжалилова, 19
- НаправленияПротезирование с опорой на имплантах, Коронки, Виниры
- Опыт работы доктора13 лет
- ФилиалСтоматология ул. Абжалилова, 19
Стоматолог-ортопед
Галиев Айнур Фаязович
Консультация c врачом
Бесплатно
О враче
Специализируется на протезировании на имплантах, на тотальных реабилитациях пациентов с поднятием высоты прикуса винирами и безметалловыми керамическими реставрациями (из диоксида циркония, дисиликата лития). Оказывает помощь пациентам с дисфункцией височно-нижнечелюстного сустава и с бруксизмом.
«Пусть постоянного развития - это путь профессионала»
Галиев Айнур Фаязович
Стоматолог-ортопед, гнатолог
Компетенции
01
Восстановление зуба вкладкой, коронкой, полукоронкой из материала E-max
02
Все виды протезирования на имплантах
03
Установка виниров из премиум-материалов
04
Лечение болей и заболеваний, связанных с функцией ВНЧС
Образование
- 2011Окончил Казанский государственный медицинский университет с красным дипломом;
- 2015Прошел первичную специализацию в Казани;
- 2020Повторно подтвердил сертификат стоматолога-ортопеда в Москве
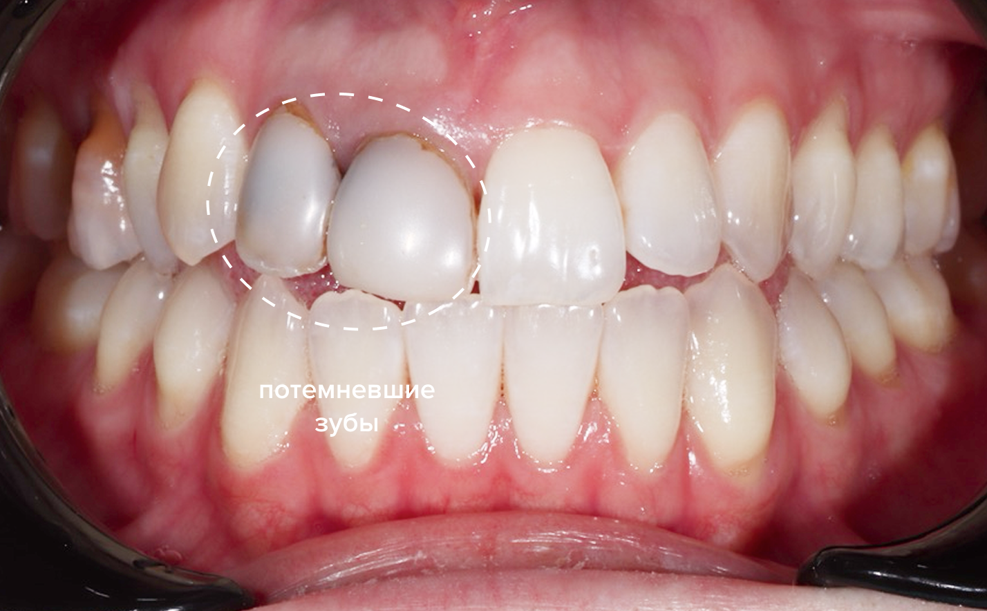
До и после
До
После

Сертификаты
Сертификат обучения
Семинар "Хирургический шаблон при проведении имплантологического лечения."
Сертификат обучения
Сертификат обучения
Сертификат обучения
Сертификат обучения
Сертификат обучения
Сертификат обучения
Сертификат обучения
Сертификат обучения
Сертификат обучения
Сертификат обучения
Сертификат обучения
Сертификат обучения
Сертификат обучения
Отзывы о враче — 5.0
Продокторов Пациент +7 908 48XXXXX
17 июля, 2024
История пациента
Понравилось
Другие специалисты
Кустов Олег Игоревич
Стоматолог-ортопед, Гнатолог
Громова Екатерина Сергеевна
Стоматолог-ортопед
Комилов Хусрав Мухаммадович
Стоматолог-ортопед, Гнатолог
Резяпов Марат Минтагирович
Стоматолог-ортопед
Ермолаева Ксения Анатольевна
Стоматолог-ортопед
Гилязиев Анвар Марселевич
Стоматолог-ортопед
Салаватуллин Руслан Джалилевич
Стоматолог-ортопед
Сагдиев Марсель Ильгизович
Консультация
Хотите сияющую улыбку? Оставьте заявку и начните улыбаться чаще!



